A cosmetic dentist could be your key to whiter teeth – here’s why!
A bright, white smile is often associated with beauty, confidence, and good health. However, maintaining natural pearly whites can be challenging, especially when daily habits and certain foods cause discolouration.
While there are numerous at-home remedies and over-the-counter products available, none compare to the expertise and effectiveness of professional teeth whitening performed by a cosmetic dentist.
In this post, we will explore why a cosmetic dentist could be your key to whiter teeth and how they can provide you with the radiant smile you’ve always desired.
What is a cosmetic dentist?
A cosmetic dentist is a dental professional who specialises in improving the appearance of your teeth, gums, and smile.
While general dentists focus on the overall health and functionality of your teeth, cosmetic dentists go a step further by enhancing the aesthetics of your smile.
They are trained in a range of advanced procedures, including teeth whitening, veneers, bonding, and reshaping, to address issues like discolouration, misalignment, or damage.
Cosmetic dentists use cutting-edge technology and techniques to provide personalised treatments that not only improve the look of your smile but also boost your confidence and overall self-esteem.
Common causes of teeth discolouration and how to fix them
Teeth discolouration is a common issue that affects many people. Understanding the causes of this issue can help you make better decisions about treatment and prevention.
Everyday habits that contribute to yellowing or staining
Teeth discolouration can stem from a variety of sources.
One of the most prevalent causes is dietary habits; beverages like coffee, tea, and red wine, along with acidic foods such as berries and sauces, can stain teeth over time due to their dark pigments.
Smoking or chewing tobacco is another significant contributor to yellow teeth, as nicotine and tar create stubborn tooth stains.
Additionally, poor overall oral health can lead to plaque build up, resulting in a duller smile and bad breath.
Certain medications, particularly antibiotics like tetracycline, can cause intrinsic stains that affect the tooth’s inner structure, making them difficult to treat with standard whitening methods.
Ageing can also contribute to discolouration. As you age, your tooth enamel naturally wears down, revealing the yellowish dentin beneath. In addition, a decrease in saliva production, can also affect your mouth’s ability to wash away stain-causing particles, leading to discoloured teeth.
How a cosmetic dentist can brighten your smile
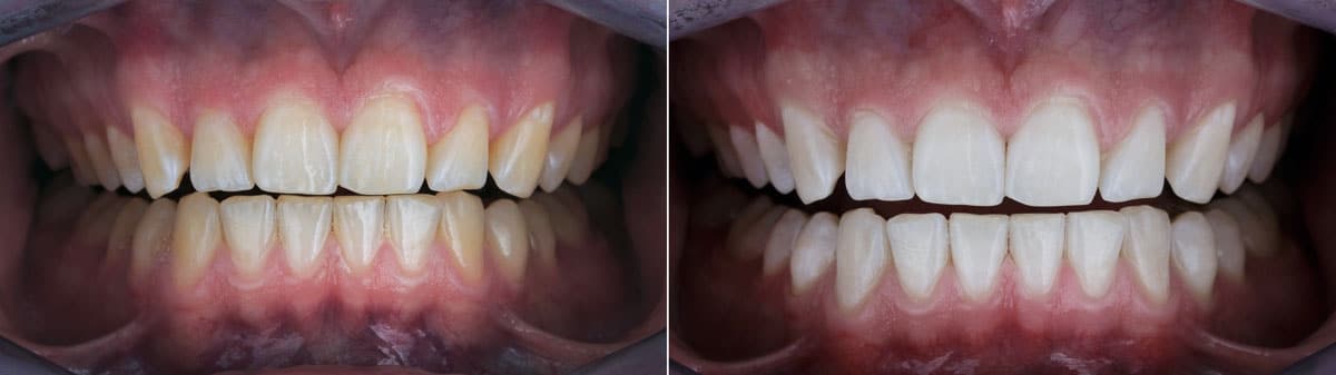
Your smile is one of the first things people notice about you, and a bright, white smile can make a lasting impression. However, environmental factors like food, drink, and age can lead to dull or stained teeth over time. This is where a cosmetic dentist comes in.
Cosmetic dentists offer a range of professional treatments that are specifically designed to whiten teeth and enhance your smile. Unlike over-the-counter teeth whitening products or generic whitening toothpastes, these treatments are tailored to your unique dental needs and use advanced technologies to deliver safe and long-lasting results.
Whether you’re dealing with surface stains or deep discolouration, a cosmetic dentist can help restore your teeth to their brightest shade.
How cosmetic dentists provide superior, long-lasting results
Cosmetic dentists use powerful tooth whitening agents that are not available in retail products. These are designed to provide a result that is immediate and long-lasting.
Additionally, they ensure that your teeth and gums remain healthy throughout the teeth whitening process, offering a customised approach that takes your dental history and sensitivity levels into account.
The science behind teeth whitening: what you need to know
Teeth whitening isn’t just about applying whitening gels and hoping for the best. It involves an intricate process where active ingredients target the stains on your teeth and break them down.
Most professional whitening methods use either hydrogen peroxide or carbamide peroxide as the active ingredient.
The role of peroxide in breaking down stains
These compounds work by penetrating the enamel and breaking down the coloured molecules that cause stains. The peroxide releases oxygen molecules, which react with the discoloured compounds and remove the stains to leave behind beautifully white teeth.
Hydrogen peroxide is the more potent of the two agents and is often used for in-office treatments where fast results are desired. Carbamide peroxide is a milder agent that is typically used in take-home kits provided by dentists.
Both are highly effective, but cosmetic dentists are trained to use these agents in a way that maximises their whitening power while protecting your teeth and gums from potential damage.
Cosmetic dentist whitening techniques: from bleaching to laser
Cosmetic dentists offer a variety of whitening techniques, each with its own advantages.
An overview of the most popular whitening procedures
The most common procedures include traditional bleaching gel and laser whitening. Traditional tooth bleaching uses a strong whitening agent, typically applied to the teeth with custom-made trays, while laser whitening uses light to accelerate the whitening process and leave teeth bright.
How laser whitening and bleaching trays compare in effectiveness
Laser whitening tends to produce quicker results, often in just one session, while bleaching trays may take longer but offer more gradual results.
Both methods are highly effective, and your dentist can recommend the best option for your needs.
The benefits of professional teeth whitening
Professional teeth whitening comes with a host of benefits that simply can’t be matched by at-home treatments. The most obvious benefit is the drastic improvement in the appearance of your smile. However, there are several other reasons why people turn to cosmetic dentists for to achieve a brighter smile.
One of the primary advantages of professional whitening is safety. Whitening agents sold over the counter often contain lower concentrations of bleaching agents to minimise the risk of gum irritation or enamel damage. Unfortunately, these lower concentrations mean that results are often underwhelming.
In contrast, a cosmetic dentist will use stronger agents but in a controlled environment, ensuring that your gums are protected and your tooth enamel is preserved. Dentists also monitor your treatment to prevent over-whitening, a common issue with at-home kits that can result in tooth sensitivity or damage.
Safe whitening for sensitive teeth
If you have sensitive teeth, you may be wary of teeth whitening. Fortunately, cosmetic dentists can provide safe and effective whitening solutions that are designed with sensitive teeth in mind.
How cosmetic dentists adjust treatments for those with sensitivity
A cosmetic dentist can evaluate your sensitivity level and adjust the treatment accordingly. They may use lower concentrations of the whitening agent, shorter application times, or even apply a desensitising gel to minimise discomfort during the process.
Special gels and techniques to minimise discomfort
Dentists may also offer fluoride treatments or recommend desensitising toothpaste to help reduce sensitivity after the whitening procedure. By working with a dentist, you can ensure that your teeth are whitened safely without causing unnecessary pain or damage.
The difference between in-office whitening and at-home kits
Both in-office whitening treatments and at-home kits provided by dentists offer excellent results, but there are key differences between the two.
Benefits of professional whitening done in-office
In-office treatments are usually the most effective option for those looking for immediate results. These treatments typically take about an hour and use stronger bleaching agents to provide dramatic improvements.
Many cosmetic dentists also offer laser whitening, which uses light to accelerate the whitening process and enhance the results.
How at-home kits provided by dentists offer better results than store-bought options
While in-office treatments are more powerful, take-home kits provided by your dentist are a more convenient option if you prefer to whiten your teeth gradually at home.
Unlike store-bought kits, a teeth whitening kit from the dentist’s office is custom-fitted to your teeth and contains professional-grade whitening agents, offering far superior results.
The limitations of over-the-counter whitening products
DIY whitening kits are often marketed as quick and easy solutions for whitening teeth. While some of these products can provide mild improvements, they are not as effective as professional treatments.
Over-the-counter kits use diluted bleaching agents, which may not be strong enough to tackle more severe stains.
Moreover, many DIY kits are designed to fit a wide range of mouths, meaning they don’t always cover your teeth evenly. This can lead to patchy results, with some teeth appearing whiter than others.
A cosmetic dentist, on the other hand, creates custom-fitted trays that ensure uniform application of the whitening gel for more even results.
Personalised whitening solutions from a cosmetic dentist
One of the key advantages of visiting a cosmetic dentist for teeth whitening is the ability to receive a personalised treatment plan.
Many over-the-counter kits assume that everyone’s teeth are the same, offering a standardised solution to whitening.
However, factors such as the natural colour of your teeth, the severity of stains, and your tooth sensitivity can all impact the effectiveness of whitening treatments.
A cosmetic dentist can assess these factors and design a treatment that is specifically tailored to your needs, ensuring better results.
How dentists tailor whitening to your teeth’s unique needs
Dentists can also recommend specific treatments based on your lifestyle and habits.
For instance, if you consume a lot of coffee, wine, or tobacco, they may suggest a more intensive whitening process or offer tips on how to maintain your results.
They can also modify the concentration of whitening agents and the duration of treatment to ensure that you get the best outcome possible.
Long-lasting results: why professional whitening is worth it
One of the main reasons people choose professional whitening is the longevity of the results.
Why professionally whitened teeth stay brighter for longer
Professional whitening treatments are more potent than over-the-counter solutions, which means they can break down stains more effectively.
Additionally, cosmetic dentists often apply protective coatings to your teeth after the whitening process to help seal in the results.
How dental care plays a role in prolonging whitening results
Maintaining good oral hygiene, avoiding stain-causing foods and drinks, and attending regular dental check-ups can help keep your teeth looking white for longer. Your dentist may also recommend touch-up treatments to maintain your results over time.
How often should you whiten your teeth with a cosmetic dentist?
While teeth whitening can dramatically improve your smile, it’s important not to overdo it.
Most cosmetic dentists recommend whitening treatments every 6-12 months, depending on your lifestyle and the severity of your stains. Over-whitening can lead to increased sensitivity and enamel erosion, so it’s important to follow your dentist’s advice on how often to have the procedure done.
How over-whitening can harm your teeth and gums
Repeated use of whitening products can wear down enamel, making your teeth more prone to damage. Cosmetic dentists carefully monitor your treatment to ensure that you achieve a whiter smile without harming your oral health.
The cost of professional whitening: is it worth the investment?
Teeth whitening can be an investment, but many people find that the results are well worth the cost.
Professional teeth whitening typically costs between £300 and £1,000, depending on the type of treatment and your location. While this may seem expensive compared to over-the-counter kits, the superior results and long-lasting benefits make it a worthwhile investment for many.
A brighter smile can boost your confidence, enhance your appearance, and improve your overall self-esteem. When you consider the transformative effect that professional whitening can have on your smile, the investment becomes a small price to pay for long-term satisfaction.
How to choose the right cosmetic dentist for your whitening needs
Finding the right cosmetic dentist is crucial to achieving the best results for your smile.
Key factors to consider: experience, technology, and patient reviews
When selecting a cosmetic dentist, look for someone with extensive experience in teeth whitening. You’ll also want to ensure that the dentist uses the latest technology, such as laser whitening or advanced bleaching systems.
Checking patient reviews can also give you insight into their level of expertise and customer satisfaction.
Why consultations are essential to determine the best treatment for you
A consultation allows the dentist to assess your teeth, discuss your goals, and develop a treatment plan that suits your needs. During this time, you can also ask questions about the procedure, the expected results, and the aftercare required to maintain your new smile.
Get ready for your whitening appointment: what to expect
Preparing for your teeth whitening appointment can help ensure a smooth and successful experience.
Before your appointment, make sure to brush and floss your teeth thoroughly. Avoid eating or drinking anything that might stain your teeth in the hours leading up to your session.
It’s also important to communicate any concerns or sensitivities to your dentist beforehand.
During the procedure, your dentist will apply a protective barrier to your gums before using the whitening agent on your teeth. The treatment typically lasts about an hour, and you can expect to see immediate results.
Depending on the method used, your dentist may recommend follow-up treatments or provide you with a take-home kit to maintain your new smile.
Aftercare tips for maintaining your bright, white smile
Once you’ve achieved your desired results, maintaining your new smile requires a few simple steps.
Brushing twice a day, flossing, and using a whitening toothpaste can help maintain your bright smile. It’s also a good idea to drink water after consuming stain-causing foods or beverages, as this can help wash away potential staining agents.
Foods and drinks to avoid for a lasting white smile
Certain foods and drinks, such as coffee, tea, red wine, and dark berries, are notorious for staining teeth. Smoking is another major culprit. If you can’t avoid these, consider using a straw for beverages or rinsing your mouth with water afterward to minimise staining.
Get in touch with a cosmetic dentist today!
A cosmetic dentist can be your key to achieving the bright, white smile you’ve always wanted. With professional treatments that are safe, effective, and long-lasting, you can trust that you’re getting the best care for your teeth. From custom whitening plans to expert aftercare advice, a cosmetic dentist provides the expertise needed to transform your smile with confidence.
Fulham Road Dental is your ideal partner in achieving whiter teeth. Our comprehensive range of teeth whitening treatments, including professional in-office procedures and customised at-home kits, ensures that you receive personalised care tailored to your unique dental needs.
With thorough assessments, expert management of sensitivity, and valuable aftercare guidance, our dedicated team at Fulham Road Dental prioritises both your comfort and satisfaction throughout the whitening process.
By choosing our professional services, you can enjoy not only immediate and effective results but also long-lasting brightness, helping you smile with confidence in every situation.
FAQs
Is teeth whitening safe for everyone?
Teeth whitening is generally safe for most people, but it may not be suitable for individuals with certain dental conditions, such as severe gum disease or untreated cavities.
It’s essential to consult with a cosmetic dentist to determine if whitening is a good option for you, especially if you have sensitive teeth.
What Natural Methods Can Help Whiten Teeth?
There are several natural teeth whitening methods out there. Baking soda mixed with hydrogen peroxide creates a gentle paste that can remove surface stains, while oil pulling with coconut oil may help reduce bacteria and improve dental health.
Diluted apple cider vinegar and activated charcoal are also popular for their stain-removing properties, but caution is advised as these can erode teeth enamel.
Additionally, eating crunchy fruits and vegetables, like apples and carrots, can help clean teeth naturally.
Finally, good oral hygiene practices, including brushing daily and flossing, are crucial for maintaining a bright smile, and can help prevent tooth decay and other dental problems.
What should I do if my teeth don’t get as white as I hoped?
If your teeth don’t achieve the whitening effect you were expecting after a whitening treatment, there are several steps you can take. First, consult your dentist to discuss your concerns and evaluate the results. They can assess whether the whitening treatment was effective or if underlying dental issues may have affected the outcome.
Your dentist might recommend additional treatments, such as touch-up sessions or alternative whitening methods tailored to your specific needs.
It’s also important to follow your dentist’s aftercare instructions, as factors like diet, oral hygiene, and lifestyle choices can influence the longevity of your results.
Remember that everyone’s teeth respond differently to whitening, and achieving your desired shade may take more than one session.
Is there an age limit for teeth whitening?
There is no strict age limit for teeth whitening, but most dental professionals recommend that individuals be at least 16 years old before undergoing treatment. This is because the enamel on younger patients’ natural teeth is still developing, and whitening treatments may cause sensitivity or damage to immature teeth.
Adults of any age can safely get their teeth whitened, provided they have healthy teeth and gums.
Does the NHS cover teeth whitening treatment?
No, the NHS does not cover teeth whitening as it is considered a cosmetic procedure rather than a necessary dental treatment. The NHS primarily focuses on treatments that address health issues, pain relief, or functional concerns.
If you’re looking for teeth whitening services, you will need to seek treatment from a private dentist, which may involve out-of-pocket expenses. It’s essential to discuss your options with your dentist to find a treatment plan that suits your needs and budget.



