Ask your dentist about Composite Bonding
How can composite bonding make a difference to my smile?
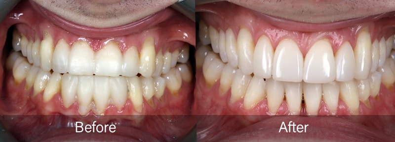
Patients often come to our Fulham dentists being not quite happy with their smiles. This will sometimes be that the shape of their teeth is different from their “ideal’ look due to wear and tear, accidental damage, lack of symmetry, or just down to the fact the natural anatomical shape of a person’s teeth is a bit ‘different’. Composite bonding is a part of aesthetic dentistry where white filling material is sculpted onto your teeth to change the appearance closer to this ‘ideal’ look.
What does minimally invasive dentistry mean for me?
Dental adhesives are really changing the way we view dentistry. In the past we had to rely on ‘mechanical retention’ to fix dental problems. A couple of examples of this are we tended to use filling materials like amalgam which doesn’t glue to a tooth but had to be packed into a cavity which relied on undercuts to keep it in. Another is when a tooth has significant damage it may require a crown. We had to cut a tooth down significantly so a crown would slot over it to provide the ‘mechanical’ retention to keep it on. These techniques are still used and have a lot of merit in certain situations – but can be quite destructive in biological terms – i.e., a lot of tooth is destroyed.
Using modern day techniques, we can rely more on ‘bonding’ – i.e., gluing things in place. We can rely less on the more destructive mechanical techniques. This will help preserve tooth structure, help avoid root canal treatments, and inevitably keep teeth functioning in people’s mouths for longer.

How can composites help me to save my teeth?
If you are a patient suffering from worn teeth or accidental damage, we can perform composite bonding not only to improve the appearance, but improve the function of your teeth, and protect from further damage.
Tooth wear is a big problem in dentistry where tooth structure is lost for a number of reasons. This could include damage due to acids in the diet or acid reflux, over brushing, tooth grinding, or eating too many hard things in the diet. The cause of this wear should be identified and removed, but once the damage is done its permanent. Often, we want to replace the lost tooth tissue, and this can be done by bonding composite in the areas which have been lost. In some situations, we can now directly bond on this composite without having to drill away any tooth structure to make space for porcelain veneers, or crowns.
Another problem people suffer from is tooth decay. Put simply this is the decaying of tooth structure by acids caused by sugar and bacteria. As a dentist we need to remove some of this infected tooth tissue and replace with a restorative material. If bonding techniques are used correctly, we can actually drill away less diseased tissue than if using traditional methods, and replace with composite. This is less invasive and will keep more teeth ‘alive’ and not result in the need for root canal treatments and extractions. Once a tooth has a root canal treatment is becomes weakened in many ways and is likely to be lost much sooner than a tooth which has avoided a root canal treatment.
What examples can you give where composite bonding is perfect suited?
To achieve a nice smile which functions well, the teeth need to be 1) in the right position and 2) be the right shape. Often, we need to first fix the positioning of the teeth before we change the shape. The way we do this is with Orthodontics – using braces which can be fixed onto the teeth on the outside (traditionally known as ‘traintracks’) or on the inside (hidden lingual braces) or clear aligner systems like Invisalign. Once the positioning is correct, we can change the shape or replace lost tooth tissue with composite bonding. Some patients already have well aligned teeth so we can skip part 1.
There are situations where composite bonding can be done on misaligned teeth – however the problem will be that tooth structure may need to be drilled away in some areas where the tooth is ‘poking out’ too far. The composite will also need to be different thicknesses in different areas to create the illusion of alignment. Thicker areas of composite can be anatomically unnatural and lead to issues of plaque retention, therefore decay and gum inflammation. This is the reason we don’t advise composite bonding on misaligned teeth.

So if your teeth are well aligned, and there are issues with the shape, you look after your teeth well – the composite bonding may be suited to you.
What examples can you give where composite bonding is perfect suited?