Fulham Road Dental – The multi-disciplinary smile solution
Fulham Road Dental was built with the idea that patients treated by specialists working together in a multi-disciplinary team can provide more accurate treatments, than one dentist providing a broad range of treatments themselves.
We therefore built a team of specialised dentists in Fulham so we could treat patients with a full mouth approach – including periodontics (gum health), endodontics (root canal treatments), implantology (replacing missing teeth), oral surgery, orthodontics (moving teeth) and restorative dentistry (fixing teeth).
One common combination of treatments is orthodontic treatment and restorative care. It’s a common occurrence that a patient will want an improvement to their smile. Often the problems with the smile can be down to 1) the shape of the teeth and 2) the alignment of the teeth.
Solutions for the shape of your teeth
The shape of teeth can be different from ‘the ideal’ due to wear and tear, accidental damage, lack of symmetry, or just down to the fact the natural anatomical shape of that person’s teeth is a bit ‘different’.
A restorative dentist is a dentist who spends their clinical time restoring teeth back to their original function and appearance. This could be building a worn tooth up with either composite or ceramic, to change the appearance closer to this ‘ideal’.
In order for these techniques to be used, however, the teeth need to be relatively well aligned (straight) in the first place. If they aren’t then the problem will be that tooth structure may need to be drilled away in some areas where the tooth is ‘poking out’ too far. The composite / ceramic will also need to be different thicknesses in different areas to create the illusion of alignment. Thicker areas of restorative material can be anatomically unnatural and lead to issues of plaque retention, therefore decay and gum inflammation.
Solutions of the positioning of your teeth
Teeth bite together in a specific way. We call this your ‘occlusion’. During functional movements e.g. chewing – your teeth will slide over in a particular pattern. Certain teeth are designed to take certain movements, some are better at taking sideways (horizontal) movements, and some teeth are more designed for ‘vertical movements’.
If your teeth aren’t aligned properly then teeth can take forces they aren’t designed to take and this can result in tooth-wear or fracture. If you have an issue with your bite and this goes on for a long time then it can result in significant wear.
An Orthodontist is a dentist who focuses their clinical work to moving teeth to the correct position in the mouth for a more balanced function.
Solutions to the shape AND positioning
It’s now easy to imagine that when the Orthodontist corrects the positioning of your teeth after years of damage, the patient won’t end up with the ‘ideal’ smile because the damage of wear and tear is already done.
This is then the time than an Orthodontist will team up with a restorative dentist.
A Case Study
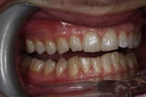
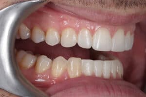
This patient presented to our clinicians complaining of his worn lower front teeth requesting them to be fixed. Upon examination it was apparent that his problematic bite was the cause of the issues. The teeth weren’t lined up in the correct fashion and combined with a grinding habit he had worn his teeth down quite significantly. Due to the problems with his bite there would be no way we could build up his teeth to their original size due to a lack of room from the wear.

Once the teeth were in a more favourable position we had created room in the bite to finish with composite bonding and you can see the following photos after the bonding.
Our Patient Journey
At FRD its commonplace that our dentists work together from the outset to plan our patients journey. Our patients will have a thorough examination to firstly identify the problems with their smile. Our team will then discuss the case and present options with the ‘end goal’ in mind, making sure an approach is taken where there is no compromise due to a lack of techniques available.


