Why you should see the dentist and hygienist?
It may be easy as a patient to think to yourself ‘why do I need to go to a dentist if I don’t have any pain?’
It may surprise you that it’s actually quite common to have oral health issues which display no symptoms, this is why it’s important to have routine examinations.
A dental check-up will encompass a number of things and your dentist will check for
- Oral cancer
- Dental decay
- Cracked teeth
- Gum disease
- Tooth wear
- Problems with your bite
If a dental issue is caught early it’s much easier to treat in a minimally interventive way than if it’s left for a long time.
Let’s look at a couple of examples:
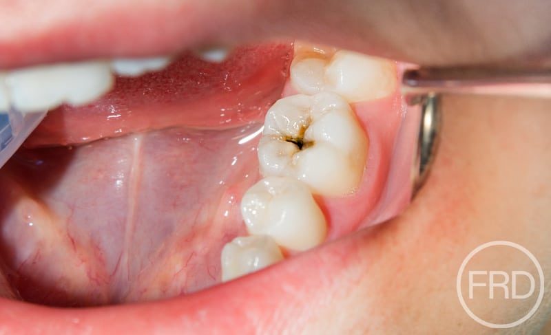
Dental decay occurs when patients expose their teeth to sugars at too high a frequency. The decay will often start as a small hole between the teeth which, if caught early, can be treated by a simple filling.
A patient can easily be completely unaware of the problem, and If this decay is left for too long it can get close to the nerve of the tooth and result in the need for a root canal treatment (removal of the nerve) and subsequent ceramic restoration in the form of a Crown or Onlay.
It’s not only the financial cost which the patient has to deal with, but also the biological cost of loss of precious natural tooth tissue. This combined with more time in the dental chair, and an inevitable increased level of maintenance suddenly hammers home the point that ‘prevention is better than cure’.
Our second example involves gum disease.
Gum disease, also known as periodontal disease, is a problem with the supporting tissues of your teeth – including the gums and bone. This can be a slow-progressing problem which a patient can also be completely unaware of. It can lead to eventual loss of teeth and reduction in the amount of bone in a patient’s jaw.
Unfortunately, if this results in loss of teeth, replacing teeth into the gaps is a complex task that often requires specialist attention and may sometimes result in the need to wear a denture as the only option.
If the signs of gum disease are spotted early then it can be treated relatively easily with a hygienist or gum specialist.
This is why our team of Fulham dentists recommend hygienist appointments – at Fulham Road Dental we see hygienist appointments as an integral part of your dental health, not only to clean deposits of plaque and calculus off your teeth but to provide you advice on how to properly look after your teeth and prevent these issues.
A lot of evidence has proven links of oral health to your general health, for example, gum disease (periodontal disease) has been shown to have links to heart disease! With all the scientific data showing these links we feel it very important to keep your mouth healthy!
What to expect
At your appointment at Fulham Road Dental, we use top-of-the-range equipment to record and assess the health of your mouth. These records will involve a set of X-rays to look for any dental decay and check your bone levels, and a digital 3d impression which records the exact shape of your teeth so we can see if there is any wear or movement over time.
At subsequent appointments, it means we can compare any health changes and advise treatment if required.
How often will I need to go to the dentist?
This really depends on the risk factors you expose your teeth to. Your dentist will perform a risk assessment at your examination and give you advice on how often they feel you should visit. The time interval can be anything from 3months to a year. If you are a patient who struggles to clean their teeth very well, eats and drinks a lot of sugars, grinds their teeth, and subsequently gets issues due to these factors, then you may require to visit the dentist more than someone without these factors.
If you have any dental issues please don’t hesitate to contact Fulham Road Dental and our team of industry-leading dentists can provide you with solutions suited to you, and maintain your teeth going forward.
Even if you don’t have any dental issues, remember that prevention is better than cure!


